15 МАРТА - РЕФЕРЕНДУМ

Рентгеновские снимки показали, как COVID-19 уничтожает легкие

ПОДЕЛИТЬСЯ

Рентгеновские снимки показали, как COVID-19 уничтожает легкие Фото:dailymail.co.uk

Рентгеновские снимки показали шокирующее состояние легких после заражения COVID-19, передает Tengrinews.kz со ссылкой на Daily Mail.


Рентгеновские снимки показали шокирующее состояние легких после заражения COVID-19, передает Tengrinews.kz со ссылкой на Daily Mail.

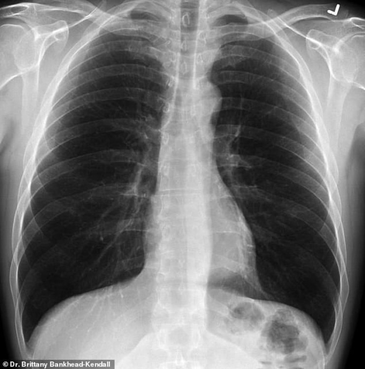
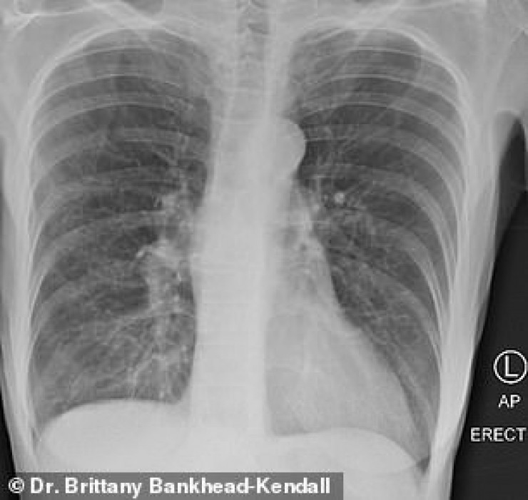
Доцент Центра медицинских наук Техасского технологического университета, доктор Бриттани Бэнкхед-Кендалл показала три рентгеновских снимка легких: здорового человека, курильщика и пациента с коронавирусом. 

По словам хирурга, легкие выздоровевших пациентов с COVID-19 выглядят намного хуже, чем у курильщиков. Снимок выглядел почти полностью белым. Врач пояснила, что помутнение легких обычно указывает на то, что они наполнены такими веществами, как жидкость или бактерии, а также плотными рубцами и повреждениями.


Daily Mail

У курильщика они частично побелели от рубцов, и снимок выглядит слегка туманным.


Daily Mail

На рентгеновском снимке здорового пациента много черного пространства, что является показателем нормального количества кислорода.


Daily Mail

"Легкие после коронавируса выглядят хуже, чем любые ужасные легкие курильщика, которые мы когда-либо видели. И они разрушаются", - заявила она. 

По ее словам, многие эксперты в области здравоохранения концентрируют внимание на показателях смертности, а не на долгосрочных последствиях выживших. Доктор Бэнкхед-Кендалл также отметила, что почти у всех пациентов из тех, кого она лечила, и тех, кто переболел коронавирусом, был плохой рентген грудной клетки. 

Врач добавила, что коронавирус часто приводит к таким осложнениям, как пневмония, которая возникает при наполнении легких жидкостью. Поскольку воздушные мешочки наполняются жидкостью, они не могут принимать достаточно кислорода и воспаляются, что приводит к таким симптомам, как кашель и одышка. Она подчеркнула, что если человек все еще испытывает одышку после выздоровления от COVID-19, то ему стоит немедленно обратиться к врачу первичной медицинской помощи. 

Ранее врачи посоветовали, как восстановить легкие с помощью сбалансированного питания, специальной гимнастики и массажа.

Хочешь получать главные новости на свой телефон? Подпишись на наш Telegram-канал!

Tengrinews.kz также есть в Aitu! Добавляйтесь к нам!

Tengrinews
Читайте также

Курс валют

 498.52  course down  579.71  course down  6.43  course down

 

Погода

location-current
Алматы
А
Алматы 4
Астана -5
Актау 7
Актобе -1
Атырау 4
Б
Балхаш 1
Ж
Жезказган -6
К
Караганда -9
Кокшетау -5
Костанай 2
Кызылорда -8
П
Павлодар -13
Петропавловск -4
С
Семей 0
Т
Талдыкорган 2
Тараз 12
Туркестан 1
У
Уральск -5
Усть-Каменогорск 12
Ш
Шымкент -2

 

Редакция Реклама
Социальные сети